TREK1 Inhibition Reduces Heart Fibrosis but Worsens Heart Enlargement (Hypertrophy) by Increasing Calcineurin/NFAT.
In response to pathological pressure overload stress, TREK-1–KO mice develop increased concentric hypertrophy and changes in fetal gene expression, but show preserved systolic and diastolic cardiac function.
“Consistent with the noninvasive echocardiographic measures of improved cardiac function, TREK-1–KO mice showed a 39% increase in stroke work and preserved cardiac output after TAC. In addition to enhanced cardiac contractility, TREK-1–KO mice exhibited a preservation of diastolic function after TAC, as measured by active relaxation with a 32% reduction in the minimum rate of LV pressure change (dP/dtmin), and cardiac compliance, as measured by a preserved end-diastolic pressure-volume relationship (EDPVR)." (3)
“Since TREK-1 is activated by biomechanical stretch and TREK-1 gene expression increases in normal hearts and in cardiac fibroblasts with pressure overload, we examined the contribution of TREK-1 to cardiac responses to chronic pressure overload using transverse aortic constriction (TAC). In response to TAC, global TREK-1–KO mice developed enhanced concentric hypertrophy, yet cardiac function remained preserved compared with that of WT mice. Cardiac function in global TREK-1–KO mice remained protected for up to 1 year following TAC. The preservation of cardiac function in global TREK-1–KO hearts occurred despite induction of fetal genes, decreased expression of calcium-handling genes, activation of calcineurin, and enhanced Ca2 /calmodulin kinase II (CaMKII) activity, as assessed by phospholamban phosphorylation.” (3)
“The preservation of cardiac function in TREK-1–KO mice despite the presence of molecular and genetic signatures commonly associated with cardiac dysfunction suggests (a) that the molecular pathways modulating cardiac function can be separated from pathways that drive pathogenic cardiac remodeling and (b) that fibroblasts are critical participants in response to pressure overload, since specific deletion of TREK-1 from fibroblasts confers cardioprotection.” (3)
How Does Boosting Calcineurin/NFAT Cause Heart Hypertrophy?
“The observation that JNK‐inhibited mice displayed enhanced hypertrophic growth following pressure‐overload stimulation suggested an antihypertrophic role for this signaling pathway in the heart. Indeed, JNK was originally shown to phosphorylate NFATc3 directly, while subsequent studies showed that JNK could also associate with and phosphorylate NFATc2 but not NFATc4. Since calcineurin–NFAT signaling plays a critical role in regulating cardiac hypertrophic growth, it was hypothesized that JNK might attenuate this response by antagonizing the ability of select NFAT isoforms to translocate to the nucleus.” (2)“Calcineurin is a member of a class of Ca2 -activated serine/threonine phosphatases that is mainly located in the cytoplasm and is modulated by calcium ions in cardiomyocytes. Calcineurin was originally identified as an essential component of T lymphocyte signal transduction.” (1)
“In the adult heart, calcineurin activity is increased, which precedes the development of pathological cardiac remodeling in response to hypertrophic or failing hearts in humans and pathological insults in mice. Upon activation by calcium ions, calcineurin dephosphorylates the transcription factor nuclear factor of activated T cell (NFAT), leading to nuclear translocation and subsequent hypertrophy. Calcineurin is also implicated in the endoplasmic reticulum stress response in cardiomyocyte hypertrophy and apoptosis associated with mitochondrial signaling pathway.” (1)
Lowering miR-133a Protects the Heart from Hypertrophy by Decreasing Calcineurin/NFAT.
"In particular, targeted deletion of miR-133a-1 or miR-133a-2, each of which resulted in ≈50% reduction in cardiac miR-133, equivalent to the decrease associated with cardiac hypertrophy, exhibited no cardiac growth or functional abnormalities under normal or pressure overload conditions. On the other hand, complete ablation of miR-133 via double knockout resulted in aberrant proliferation and apoptosis of myocytes, cardiac defects, and prevalent embryonic lethality, whereas those that escaped the lethal phenotype ended with severe cardiac dilatation, but no myocyte hypertrophy.“ (12)“In HEK293 cells, the transfection of miR-133 remarkably downregulated calcineurin expression. Meanwhile, this change was reversed by cotransfection with miR-133 inhibitory oligoribonucleotides. NFATc4, which is one of five NFAT family members, is also one of the direct targets of miR-133a, and its expression is negatively regulated in miR-133a-mediated repression of cardiomyocyte hypertrophy in vivo. Surprisingly, the calcineurin/NFAT signaling pathway also inversely regulates miR-133 expression. Calcineurin or miR-133 could regulate their own expression through a positive feedback mechanism, and cardiac hypertrophy is regulated by the reciprocal repression between miR-133 and calcineurin. In detail, either exogenous miR-133 supplement or endogenous miR-133 increase could give rise to the increase of transcriptional inhibition of calcineurin and suppression of NFAT, causing the increase of the miR-133 level. As a consequence, the increased miR-133 will further enhance miR-133 expression. By contrast, the downregulation of miR-133 could cause the increase of calcineurin transcription. Eventually, the activation of calcineurin induces the further activation of calcineurin/NFAT pathway.” (1)

"The proposed mechanisms for the reciprocal repression between calcineurin and miR-133 in hypertrophic heart. (A) Either exogenous miR-133 supplement or endogenous miR-133 increase gives rise to the transcriptional repression of calcineurin and suppression of NFAT, causing the increased miR-133 level. Eventually, the increased miR-133 further enhanced miR-133 expression. (B) The calcineurin/ NFAT signaling is activated by pathological stimuli, giving rise to the downregulation of miR-133 expression. The decreased miR-133 induces the enhancement of calcineurin transcription. Consequently, the activated calcineurin triggers the further increase of calcineurin/ NFAT pathway. ↑, increase; ↓, decrease." (1)
SIRT1 lowers miR-133a and miR-133a lowers SIRT1.
“Inhibition of SIRT1 activity or expression significantly decreased RA-induced binucleation. SIRT1 expression was minimal in the fetal heart and significantly upregulated in the hearts of postnatal day 7 (P7) rat pups. In contrast, heart-specific miR-133a expression was high in the fetal heart but significantly reduced in P7 pup hearts. The miR-133a promoter contains a canonical HRE element and hypoxia upregulated miR-133a gene expression in the heart. SIRT1 mRNA 3′UTR has miR-133a binding sequences and miR-133a and hypoxia suppressed SIRT1 expression in cardiomyocytes. Of importance, inhibition of SIRT1 significantly reduced binucleated cardiomyocytes in the hearts of P7 pups. Taken together, the present study reveals a novel role of SIRT1 and its regulation by miR-133a in cardiomyocyte terminal differentiation of the developing heart, and suggests a potential therapeutic strategy that may impact cardiac function later in life... we demonstrated that SIRT1 was a direct target of miR-133a that downregulated SIRT1 expression. Similarly, it was reported that miR-133 targeted SIRT1 in glioma cells, leading to inhibition of cell proliferation [50]. In the present study, we found that miR-133a was significantly upregulated in both fetal hearts and cardiomyocytes exposed to hypoxia, which coincides with the fact that the in utero environment is naturally hypoxic. To our knowledge, we are the first to identify a canonical Hypoxia Response Element (HRE) at the miR-1/133a bicistronic promoter and its function in the regulation of the promoter activity in response to hypoxia." (17)miR-133a up-regulates RhoA. Lowering RhoA reduces fibrosis but worsens hypertrophy, just like inhibiting TREK1. (13) (26)
SS-31 Reverses Heart Hypertrophy By Directly Reducing Calcineurin/NFAT.
Aging lead to an increase in Calcineurin/NFAT in a study named "Mitochondrial oxidative stress and mammalian healthspan":"A number of cellular pathways are involved in cardiac hypertrophy including phospho-ERK1/2 and calcineurin-NFAT (nuclear factor of activated T-cells). We examined both of these in aging mouse hearts and found no alteration of phosphorylated or total ERK1/2 levels. The calcineurin-NFAT pathway, however, was activated with aging as were downstream cofactors such as GATA4 and NFAT target genes including MCIP-1 (modulatory calcineurin interactin protein-1) and ANP/BNP (atrial and brain natriuretic peptides)." (14)
Calcineurin leads to cell death by decreasing mitochondrial stability and membrane potential:
“Recently, Ca2+-mobilizing agents have been reported to dephosphorylate Bad by activating calcineurin and to enhance Bad heterodimerization with Bcl-XL, leading to apoptosis through mitochondrial instability. Mitochondria comprise about 30% of the total intracellular volume within a mammalian cardiomyocyte. The mitochondrion is an organelle that synthesizes ATP by oxidative phosphorylation through electron transport and contains a double membrane. Finally, ATP is synthesized by the transport of protons into the mitochondrial matrix through mitochondrial Ht- ATPase. Injury stimuli often perturb mitochondrial function by decreasing the membrane potential as well as oxygen consumption. The mitochondrial ∆Ψ assay showed that silibinin could reverse the dissipation of membrane potential, so it could protect mitochondrial function.” (15)
SS-31 enhances mitochondria membrane potential in multiple studies:
"SS-31 peptide penetrates islet cells, co-localizes within the mitochondria, and preserves islet mitochondrial membrane potential... Our study demonstrates that the novel, antioxidant peptide SS-31 preserves mitochondrial membrane potential of isolated islets, inhibits apoptosis, optimizes islet yield, and improves islet graft function in recipients with diabetes. Mitochondria-targeted antioxidants may represent a new class of agents for optimizing islet isolation and transplantation.” (16)
“Furthermore, intracellular SS-31 modified PLGA NPs slightly enhanced mitochondrial membrane potential (MMP, ΔΨm) and then returned to a ...” (34)
SS-31 reduces endoplasmic-reticulum stress:
“The marked decrease of calcium content in the SS-31-treated T2D group in comparison with healthy volunteers may indicate an attenuation of ER stress in these patients given the fact that ER stress is often related to an increase in cytosolic calcium content SS-20 treatment did not modify calcium content in any condition.” (35)
"To our knowledge, the activation of NFAT, TCF/LEF, HIF and PXR under ER stress was observed for the first time." (36)
SS-31 Reduced Pressure-Overload Induced Heart Hypertrophy by 50%.
Pressure-overload heart failure model : “In mice, TAC caused more than twofold increase in LV mass and significant dilation of the LV within 4 weeks (Dai et al., 2013). There was also a significant decline in systolic function after TAC with 50% reduction in fractional shortening. Continuous delivery of SS-31 by osmotic mini pump over the 4 weeks completely ameliorated the cardiac hypertrophy and systolic failure” (18)
“Combined Therapy with SS31 and Mitochondria Mitigates Myocardial Ischemia-Reperfusion Injury in Rats” (4)“SS31 suppressed menadione- induced oxidative-stress markers (NOX-1, NOX-2, oxidized protein) while it increased SIRT1/SIRT3 expression ...” (4)
“Sirt1 promotes autophagy and inhibits apoptosis to protect cardiomyocytes from hypoxic stress” (5)
“Administration of antioxidant peptide SS-31 attenuates transverse aortic constriction-induced pulmonary arterial hypertension in mice” (20)
“SS-31 Peptide Reverses the Mitochondrial Fragmentation Present in Fibroblasts From Patients With DCMA, a Mitochondrial Cardiomyopathy” (6)
“Randomized dose-escalation trial of elamipretide in adults with primary mitochondrial myopathy” (7)
“SS31 Ameliorates Sepsis-Induced Heart Injury by Inhibiting Oxidative Stress and Inflammation” (8)
Neuroinflammation at the Interface of Depression and Cardiovascular Disease: Evidence From Rodent Models of Social Stress
“Individual differences in stress susceptibility are also evident at the level of neuroinflammation. Rats characterized as susceptible generally exhibit greater release of IL-1β within the locus coeruleus (LC) (Wood et al., 2015), the major noradrenergic nucleus within the brain that has been associated with depression (Ressler and Nemeroff, 2000, Serafini, 2012). These alterations in neuroinflammation are region specific, as this effect is not exhibited uniformly throughout the brain.” (31)
"Impact of neuroinflammation on stress-sensitive neurobiologic molecules. Inflammatory cytokines have several documented effects on various neurobiological substrates related to depression and CVD. (A) Inflammation has largely stimulatory effects on CRF and NE while it generally serves to suppress 5-HT and BDNF along with BDNF's activated receptor, phosphorylated TrkB. We hypothesize that a milieu of elevated inflammation initiates a cascade of adaptations within these stress sensitive systems to contribute to a susceptible phenotype that is primed to develop depression and CVD. (B) In the event that stress exposure does not result in persistent increases in inflammation, these neurobiologic systems remain largely unaffected, thereby protecting the individual. *It should be noted that the depicted inflammation-induced changes in BDNF represent the most simplistic of interpretations and in fact, certain changes in BDNF are more likely to be region specific." (31)

Neuroinflammatory Hypothesis of Depression ~ Cytokine Directed Neurodegeneration:
“THE CYTOKINE HYPOTHESIS OF DEPRESSION"“According to the cytokine hypothesis, internal or external stress induces cytokine imbalances that play important roles in the expression and continuity of depressive symptoms in vulnerable individuals.” (19)
“Third, cytokines trigger activity in the HPA axis and the catecholamine/sympathetic nervous system, two biological systems that are closely associated with the pathophysiology of depression[2]. Cytokines stimulate corticotrophin-releasing hormone (CRH) and adrenocorticotropic hormone (ACTH), and activate the HPA axis[25]. In addition, cytokines activate indoleamine-2,3-dioxygenase (IDO), which catalyzes the metabolism of the 5-HT precursor tryptophan to kynurenine, and inhibits 5-HT synthesis in the brain. The proinflammatory cytokine, NA, and DA promote CRF secretion, activate the sympathetic nerve system, and promote immune reactions. During this process, the temperature of the CNS increases and sickness behaviors may be induced[27]. Sickness behaviors refer to behavioral changes that are observed during an infection period. These include feelings of helplessness, depressive mood, anxiety, hypersomnia, loss of appetite, and inattention.” (19)
Low levels of cytokines over prolonged periods of time may fly under the radar of diagnosis:
“Because the negative inhibitory mechanism of cortisol that prevents increased levels of CRF is impaired in patients with depression, the negative inhibitory mechanism of cytokine secretion in immune cells against increased levels of cortisol is also impaired in these patients. In other words, depression is characterized as a dysfunction of the cortisol feedback inhibitory mechanism to the GR, which is the mechanism for inhibiting CRF oversecretion, and to immune cell receptors, which is the mechanism for inhibiting cytokine oversecretion.” (19)
“Third, previous studies have shown that the increased levels of cytokines in depression are within a low range compared with those in systemic infection and inflammation. In acute infection, the huge amounts of cytokines are produced act on the brain functions, which often results in the progression of depression. However, in most clinical conditions, such as chronic infection and inflammation, only low amounts of cytokines circulate.” (19)

Neuroinflammation Also Worsens Depression by Blocking Neuroplasticity.
A lack of neural plasticity in the hippocampus has been implicated in the development of depression in June 2020 study. (23)“Accumulating evidence suggests that dysregulation of neural plasticity in the hippocampus contributes to the pathophysiology of depression.”
“This study's findings support the theory that ketamine may reverse the stress-induced loss of connectivity in key neural circuits by engaging synaptic plasticity processes to “reset the system”. Although ketamine’s ability to restore hippocampal- dependent function by modulating synaptic plasticity is a plausible mechanism for some of its therapeutic effects related to functions mediated by the dorsal hippocampus, it is highly unlikely that such localized effects can account for ketamine’s wide range of antidepressant effects.” (23)
The neurodegeneration hypothesis of depression: “Inflammation and cytokines usually directly inhibit neurogenesis. Proinflammatory cytokines, such as TNF-α and INF-α, inhibit neurogenesis through IL-1 regulation[53]. The decline of neurogenesis is prevented by inhibiting IL-1β activity[54], confirming the important role of cytokines in inhibiting neurogenesis in the brain. In contrast, the administration of drugs that inhibit inflammation recovered or increased neurogenesis.” (19)
“Proinflammatory cytokines reduce neuroplasticity by increasing the levels of quinolinic acid, which is a strong agonist of the N-methyl-D-aspartate.” (19)
"Neurodegeneration in brain regions including the hippocampus and frontal lobe results in cognitive and memory impairments. As a result, the neurodegeneration process inhibits all of the brain strategies that might cope with the stress, which induces depression or treatment-resistant depression. The neurodegeneration process is further deteriorated due to neurotoxicity from cortisol oversecretion from stress-induced HPA-axis activation." (19)
"The brains of patients with chronic depression show increased cell apoptosis with decreased volumes of the hippocampus, prefrontal cortex, and amygdala and increased ventricular volume. The chances for developing dementia increase accordingly in these patients, and chronic inflammatory responses are thought to be involved in this process."
SS-31 Reduces Neuroinflammation and the Oxidative Stress Preceding It.
SS-31 activates SIRT1 to reduce HMGB1, a highly upstream controller of neuroinflammation:“When immunoprecipitated acetylated HMGB1 was incubated with SIRT1, HMGB1 acetylation decreased by 57%. Proteomic analysis showed that SIRT1 deacetylates HMGB1 at four lysine residues (55, 88, 90, and 177) within the proinflammatory and nuclear localization signal domains of HMGB1. Genetic ablation or pharmacological inhibition of SIRT1 in endothelial cells increased HMGB1 acetylation and translocation. In vivo, deletion of SIRT1 reduced nuclear HMGB1 while increasing its acetylation and release into circulation during basal and ischemic conditions, causing increased renal damage. Conversely, resveratrol pretreatment led to decreased HMGB1 acetylation, its nuclear retention, decreased systemic release, and reduced tubular damage. Thus, a vicious cycle is set into motion in which the inflammation-induced repression of SIRT1 disables deacetylation of HMGB1, facilitates its nuclear-to-cytoplasmic translocation, and systemic release, thereby maintaining inflammation.”
“Inflammation is known to reduce SIRT1 transcription via p53 and hypermethylation in Cancer 1.45,46 Furthermore, oxidative stress–induced dissociation of SIRT1-human antigen R mRNA complex is known to destabilize SIRT1 mRNA, thus reducing its abundance.47 In conclusion, our data allude to a vicious cycle in which the inflammation-induced repression of SIRT1 disables deacetylation of HMGB1 and facilitates its nuclear-to-cytoplasmic translocation and systemic release, thus maintaining inflammation.” (24)
“SIRT1 directly interacted with HMGB1 via its N-terminal lysine residues (28–30) and thereby inhibited HMGB1 release to improve survival in an experimental model of sepsis.” (25)
Deacetylation-mediated interaction of SIRT1-HMGB1 improves survival in a mouse model of endotoxemia (26)
“Ds-HMGB1 and fr-HMGB induce depressive behavior through neuroinflammation in contrast to nonoxid-HMGB1… Fr-HMGB1 evokes depressive behavior through TLR4, RAGE and CXCR4, which are related to TNF-α induction.” (32)
The mitochondrial antioxidant SS-31 increases SIRT1 levels and ameliorates inflammation, oxidative stress and leukocyte-endothelium interactions in type 2 diabetes (21)
SS-31 reduces inflammation and oxidative stress through the inhibition of Fis1 expression in lipopolysaccharide-stimulated microglia (27)
Peptide SS-31 upregulates frataxin expression and improves the quality of mitochondria: implications in the treatment of Friedreich ataxia (22)
Adverse neurological effects of short-term sleep deprivation in aging mice are prevented by SS31 peptide (28)

“Regulatory proteins for synaptic plasticity were restored, and inflammatory cytokines decreased in the hippocampus of sleep-deprived mice treated with SS31." (28)
SS-31 and PE-22-28 Improves Memory and Neuroplasticity.
“Treatment with SS31 greatly attenuated the decrease in plasticity regulator protein expression induced by sleep deprivation, suggesting an important role of mitochondrial function in synaptic plasticity.” (28)
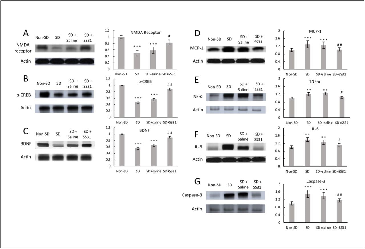
“To further investigate the cellular mechanism of how SS31 attenuated learning impairment induced by sleep deprivation in aging mice, we tested expression levels of three known regulators of synaptic plasticity. N-methyl-D-aspartate (NMDA) receptor is a glutamate receptor that plays a vital role in regulating synaptic plasticity and subsequent function in the hippocampus. CREB (cAMP-response element binding), a transcription factor downstream of the cAMP/PKA signaling pathway, and brain-derived neurotrophic factor (BDNF) are other regulators of synaptic plasticity, playing vital roles for learning and memory [3,20,21]. Compared to non-SD mice, SD mice had significantly lower levels of NMDA receptor, p-CREB, and BDNF (Figure. 3A, B, C), indicating the negative effects of short-term sleep deprivation on synaptic plasticity-related regulation that might be the result of high sensitivity to ROS-mediated inflammation in the brain." (28)
Elamipretide (SS-31) improves mitochondrial dysfunction, synaptic and memory impairment induced by lipopolysaccharide in mice (29)
“Treatment with elamipretide significantly ameliorated LPS-induced learning and memory impairment during behavioral tests. Notably, elamipretide not only provided protective effects against mitochondrial dysfunction and oxidative stress but also facilitated the regulation of brain-derived neurotrophic factor (BDNF) signaling, including the reversal of important synaptic-signaling proteins and increased synaptic structural complexity.” (29)
How does peptide SS-31 restore mitochondrial plasticity to sustain energy?
“To satisfy cellular energy demands, the mitochondrial electron transport chain ETC needs to be able to elevate its capacity to produce ATP at times of increased metabolic demand.” (30)
Improvement of mitochondria quality:
“Peptide SS-31 upregulates frataxin expression and improves the quality of mitochondria: implications in the treatment of Friedreich ataxia” (22)
PE-22-28 effects on serotonin and neurogenesis quantified:
• Increases serotonin.
• 24 hour half-life
• Boosts CREB, contributing to neuronal plasticity and long-term memory formation.
• Doubles a biomarker of #neurogenesis in the hippocampus, boosting spatial and short-term memory.



